Bize Ulaşın   Tıbbi İkinci Görüş   Doktor Girişi
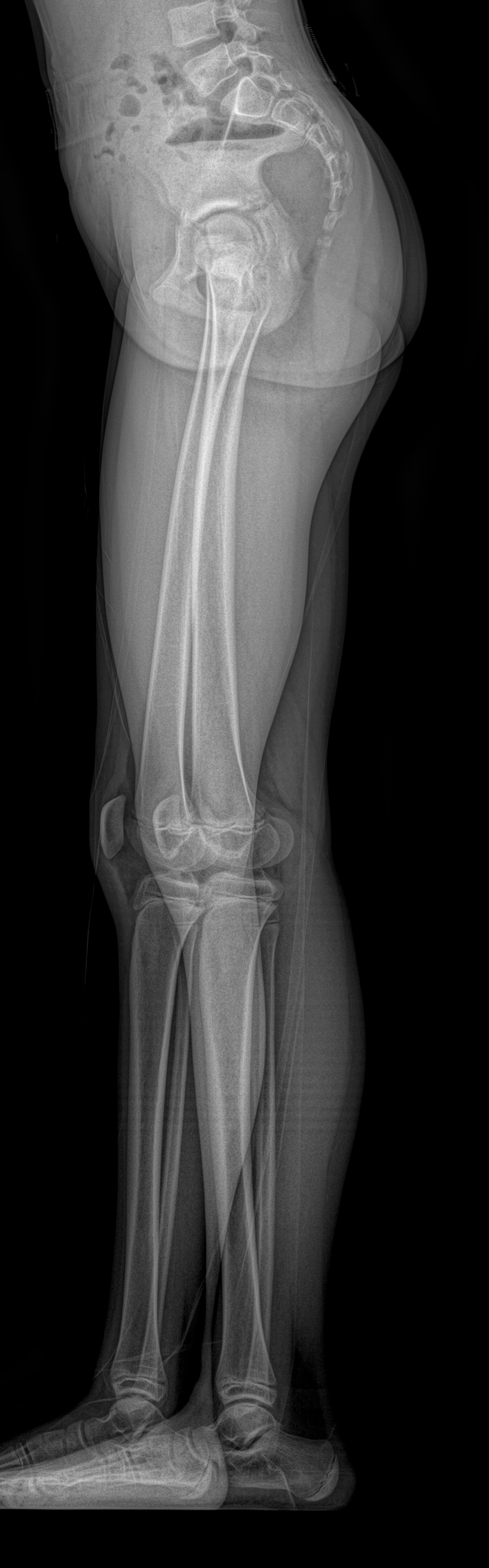
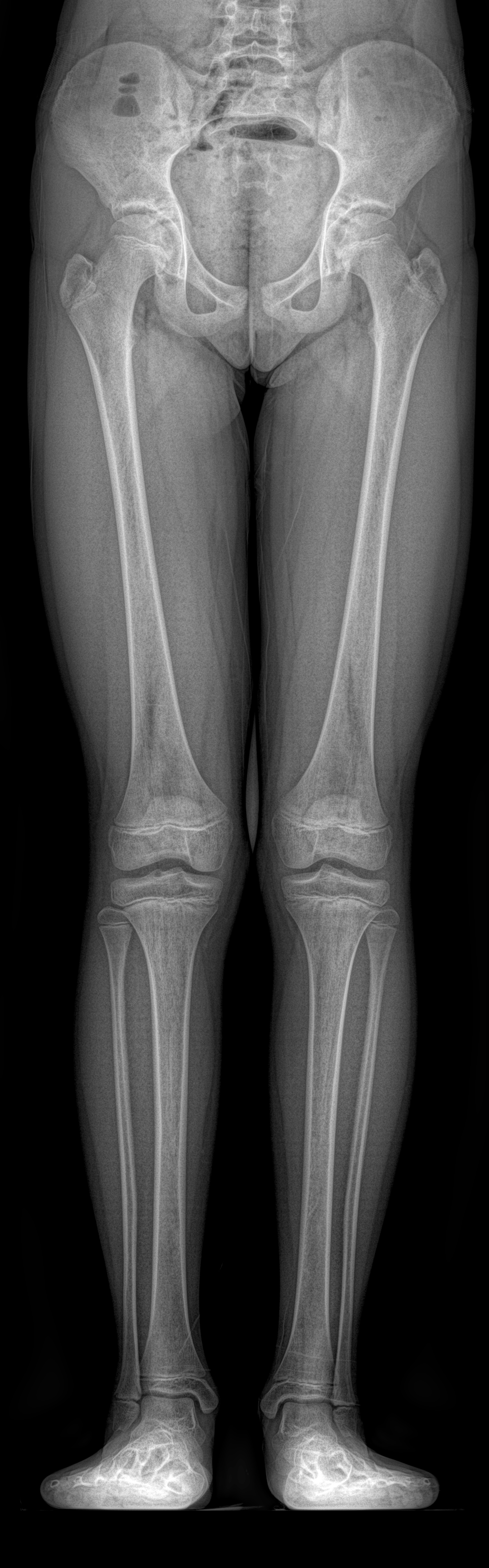
Bacak uzunluğu farklılıklarının milimetrik düzeyde ölçülmesini sağlar. Kliniğimizin EOS çekimleri, cerrahi ve ortopedik yaklaşımlarda doğru kararlar alınmasına katkı sağlar.